Einem Vater eines Kindes aus New Jersey wurde gesagt, er habe nur noch vier Tage zu leben, nachdem Ärzte herausgefunden hatten, dass Nierenkrebs Schmerzen in seinem rechten Zeh verursacht hatte.
Richard Bernstein, 62, der in Montvale lebt, ging vor fünf Jahren wegen der Schmerzen zu Ärzten – wurde aber entlassen, als keine Fraktur gefunden wurde.
Erst als sich die Beschwerden auf seinen Knöchel ausbreiteten und sein Bein im März anschwoll, wurde er schließlich zu Scans geschickt.
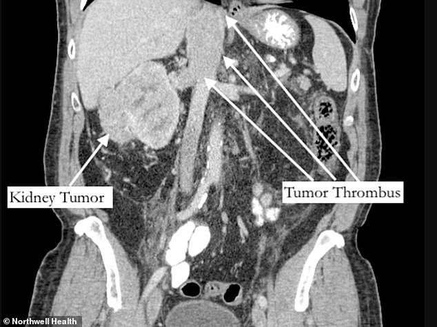
Diese zeigten einen 2,5 Pfund schweren Nierentumor auf der rechten Seite seines Unterleibs, der auch fußlange Verlängerungen – medizinisch Tumorthrombus genannt – hatte, die zwei Hauptarterien teilweise blockierten.
Ihm wurde die düstere Diagnose gestellt, dass er nur noch vier Tage zu leben habe, bevor er ins Lenox Hill Hospital in New York City operiert wurde, wo Mediziner einen Bypass durchführten und dann die Tumore über 12 Stunden entfernten.
Bernstein – der jetzt seit drei Monaten krebsfrei ist – sagt, sein geschwollenes Bein habe ihm das Leben gerettet.
Die Ärzte sagten, dass der Krebs Schmerzen in den Zehen auslösen könnte, wenn die Wucherungen den Flüssigkeitsabfluss aus diesen Bereichen stoppen und sie unter starken Druck setzen würden.
Bei Richard Bernstein, 62, wurde fünf Jahre nach einem Arztbesuch mit Fußschmerzen ein 2,5 Pfund schwerer Nierentumor diagnostiziert. Er ist oben mit seiner Frau Ann und seiner Tochter Emma abgebildet
Oben abgebildet ist Richard Bernstein, 62, während der Operation im Lenox Hill Hospital in New York City. Der Eingriff dauerte etwa 12 Stunden
Oben abgebildet sind der Nierentumor und die rechte Niere, die die Ärzte während des Eingriffs entfernt haben (im weißen Eimer). Die „schlangenartigen“ Wucherungen durch Arterien sind in der blauen Schale dargestellt
Dies ist ein Scan von Bernstein. Es zeigt den Nierentumor auf seiner rechten Seite, wobei auch der fußlange Tumorthrombus in den Venen zu sehen ist
Bei etwa 79.000 Amerikanern – hauptsächlich Männern – wird in diesem Jahr Nierenkrebs diagnostiziert, der bei Männern an sechster und bei Frauen an neunter Stelle steht.
Normalerweise löst es im Frühstadium nur wenige Warnzeichen aus, obwohl bei Patienten Blut im Urin und Schwellungen der Gliedmaßen auftreten können.
Ärzte sagen, dass es auch Schmerzen in den Zehen auslösen kann, wenn sich dort Flüssigkeit ansammelt, weil Blockaden das Abfließen verhindern.
Die meisten Patienten überleben die Krankheit, wobei etwa drei von vier innerhalb von fünf Jahren nach der Diagnose noch am Leben sind.
Bernstein enthüllte die Geschichte, wie sein Nierenkrebs entdeckt wurde New York Post.
Es war nicht klar, in welchem Stadium sich sein Nierenkrebs befand, obwohl er fortgeschritten zu sein schien.
„Wenn mein ganzes Bein nicht angeschwollen wäre, wäre ich tot umgefallen“, sagte er, nachdem er fünf Jahre lang Ärzte für eine Diagnose aufgesucht hatte.
‚[When they found the cancer they] sagte mir, ich hätte noch vier Tage zu leben.‘
Dr. Michael Grasso, der Direktor der Urologie am Phelps Hospital und der Bernstein die Diagnose übermittelte, sagte, er sei „auf einem dünnen Seil gewandert“, als er zu den Scans kam.
Der Körper des Patienten wurde während der Operation zunächst auf 18 °C (64 °F) gekühlt, um den Blutfluss zu reduzieren und ihnen zu ermöglichen, in große Venen und Arterien zu schneiden.
Die Mediziner führten zunächst einen koronaren Bypass durch, bei dem das Blut um eine Blockade herum umgeleitet wird, um sicherzustellen, dass der normale Blutfluss wieder aufgenommen werden kann.
Um die fußlange Tumorthrombose zu entfernen, öffneten sie zunächst die rechte Seite des Herzens und die Hohlvene – die größte Vene im Körper.
Der Tumor wurde an beiden Enden freigelegt, bevor die Ärzte die Schlange durch das Ende der Vene „herauszogen“.
Der Nierentumor und die Niere neben ihm wurden ebenfalls entfernt.
Nach der Operation wurde Bernstein eine Woche lang auf den Stationen gehalten, wo er allmählich wieder zu Kräften kam. Drei Monate später kann er nun wieder ohne Hilfe gehen.
Es ist nicht klar, was Nierenkrebs verursacht, obwohl Mediziner sagen, dass Fettleibigkeit, Rauchen, Bluthochdruck und eine familiäre Vorgeschichte der Krankheit die Menschen einem größeren Risiko aussetzen.
Die Krankheit wird normalerweise durch eine Operation behandelt, bei der ein Teil oder die gesamte betroffene Niere entfernt wird.
Den Patienten können aber auch Strahlentherapie und Embolisation angeboten werden – bei denen Ärzte die Blutzufuhr zur Niere unterbrechen.
Ärzte des NHS – Englands Gesundheitsdienst – sagen, dass die Aussichten für Patienten davon abhängen, wie weit der Krebs fortgeschritten ist, wenn er diagnostiziert wird.
Eine Operation kann es normalerweise heilen, wenn es sich nicht über die Niere hinaus ausgebreitet hat, sagten sie, aber wenn es sich auf andere Bereiche ausgebreitet hat, kann es schwieriger sein, es zu behandeln.
