Thrombozytopenie (niedrige Blutplättchenzahl)
Thrombozytopenie (niedrige Blutplättchenzahl)
Überblick
Thrombozytopenie ist ein Zustand, bei dem Sie eine niedrige Blutplättchenzahl haben. Blutplättchen (Thrombozyten) sind farblose Blutkörperchen, die die Blutgerinnung unterstützen. Blutplättchen stoppen die Blutung, indem sie bei Blutgefäßverletzungen verklumpen und Pfropfen bilden.
Thrombozytopenie kann als Folge einer Erkrankung des Knochenmarks wie Leukämie oder eines Problems des Immunsystems auftreten. Oder es kann eine Nebenwirkung der Einnahme bestimmter Medikamente sein. Es betrifft sowohl Kinder als auch Erwachsene.
Thrombozytopenie kann leicht sein und nur wenige Anzeichen oder Symptome verursachen. In seltenen Fällen kann die Anzahl der Blutplättchen so niedrig sein, dass es zu gefährlichen inneren Blutungen kommt. Behandlungsmöglichkeiten sind verfügbar.
Symptome
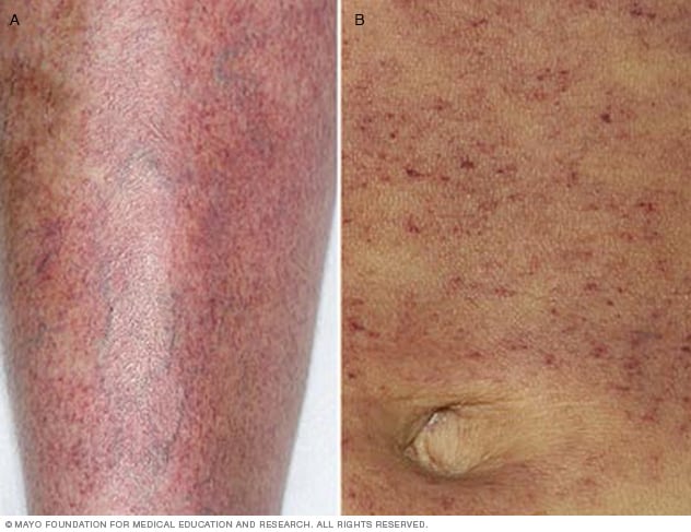
Petechien

Petechien
Petechien können wie ein Hautausschlag aussehen und treten normalerweise in Clustern auf. Hier erscheinen sie auf einem Bein (A) und auf einem Bauch (B).
Anzeichen und Symptome einer Thrombozytopenie können sein:
- Einfache oder übermäßige Blutergüsse (Purpura)
- Oberflächliche Blutung in die Haut, die als Ausschlag stecknadelgroßer rötlich-violetter Flecken (Petechien) erscheint, normalerweise an den Unterschenkeln
- Längere Blutungen aus Schnittwunden
- Zahnfleisch- oder Nasenbluten
- Blut im Urin oder Stuhl
- Ungewöhnlich starker Menstruationsfluss
- Ermüdung
- Vergrößerte Milz
Wann zum arzt
Vereinbaren Sie einen Termin mit Ihrem Arzt, wenn Sie Anzeichen einer Thrombozytopenie haben, die Sie beunruhigen.
Eine Blutung, die nicht aufhört, ist ein medizinischer Notfall. Suchen Sie sofortige Hilfe bei Blutungen, die nicht durch die üblichen Erste-Hilfe-Techniken, wie z. B. Druck auf den Bereich, kontrolliert werden können.
Ursachen
Vergrößerte Milz

Vergrößerte Milz
Die Milz ist ein kleines Organ, normalerweise etwa so groß wie Ihre Faust. Aber eine Reihe von Erkrankungen, darunter Lebererkrankungen und einige Krebsarten, können dazu führen, dass sich Ihre Milz vergrößert.
Thrombozytopenie bedeutet, dass Sie weniger als 150.000 Blutplättchen pro Mikroliter zirkulierendes Blut haben. Da jedes Blutplättchen nur etwa 10 Tage lebt, erneuert Ihr Körper normalerweise Ihren Blutplättchenvorrat kontinuierlich, indem er neue Blutplättchen in Ihrem Knochenmark produziert.
Thrombozytopenie wird selten vererbt; oder es kann durch eine Reihe von Medikamenten oder Erkrankungen verursacht werden. Unabhängig von der Ursache werden zirkulierende Blutplättchen durch einen oder mehrere der folgenden Prozesse reduziert: Einschluss von Blutplättchen in der Milz, verringerte Blutplättchenproduktion oder verstärkte Zerstörung von Blutplättchen.
Eingeschlossene Blutplättchen
Die Milz ist ein kleines, etwa faustgroßes Organ, das sich direkt unter Ihrem Brustkorb auf der linken Seite Ihres Bauches befindet. Normalerweise arbeitet Ihre Milz, um Infektionen zu bekämpfen und unerwünschtes Material aus Ihrem Blut zu filtern. Eine vergrößerte Milz – die durch eine Reihe von Erkrankungen verursacht werden kann – kann zu viele Blutplättchen beherbergen, was die Anzahl der Blutplättchen im Blutkreislauf verringert.
Verringerte Produktion von Blutplättchen
Blutplättchen werden in Ihrem Knochenmark produziert. Zu den Faktoren, die die Blutplättchenproduktion verringern können, gehören:
- Leukämie und andere Krebsarten
- Einige Arten von Anämie
- Virusinfektionen wie Hepatitis C oder HIV
- Chemotherapeutika und Strahlentherapie
- Starker Alkoholkonsum
Erhöhter Abbau von Blutplättchen
Einige Zustände können dazu führen, dass Ihr Körper Blutplättchen schneller verbraucht oder zerstört, als sie produziert werden, was zu einem Mangel an Blutplättchen in Ihrem Blutkreislauf führt. Beispiele für solche Bedingungen sind:
- Schwangerschaft. Eine durch Schwangerschaft verursachte Thrombozytopenie ist normalerweise mild und bessert sich kurz nach der Geburt.
- Immunthrombozytopenie. Autoimmunerkrankungen wie Lupus und rheumatoide Arthritis verursachen diesen Typ. Das körpereigene Immunsystem greift fälschlicherweise Blutplättchen an und zerstört sie. Wenn die genaue Ursache dieser Erkrankung nicht bekannt ist, spricht man von idiopathischer thrombozytopenischer Purpura. Dieser Typ betrifft häufiger Kinder.
- Bakterien im Blut. Schwere bakterielle Infektionen des Blutes (Bakteriämie) können Blutplättchen zerstören.
- Thrombotische thrombozytopenische Purpura. Dies ist eine seltene Erkrankung, die auftritt, wenn sich plötzlich kleine Blutgerinnsel im ganzen Körper bilden, die eine große Anzahl von Blutplättchen verbrauchen.
- Hämolytisch-urämisches Syndrom. Diese seltene Erkrankung verursacht einen starken Abfall der Blutplättchen, die Zerstörung roter Blutkörperchen und beeinträchtigt die Nierenfunktion.
- Medikamente. Bestimmte Medikamente können die Anzahl der Blutplättchen in Ihrem Blut verringern. Manchmal verwirrt ein Medikament das Immunsystem und veranlasst es, Blutplättchen zu zerstören. Beispiele sind Heparin, Chinin, sulfathaltige Antibiotika und Antikonvulsiva.
Komplikationen
Gefährliche innere Blutungen können auftreten, wenn Ihre Blutplättchenzahl unter 10.000 Blutplättchen pro Mikroliter fällt. Obwohl selten, kann eine schwere Thrombozytopenie zu Blutungen im Gehirn führen, die tödlich sein können.
Quellen:
- Thrombozytopenie und Thrombozytenfunktionsstörung. Die Merck Manual Professional Edition. http://www.merckmanuals.com. Abgerufen am 20. Februar 2015.
- George JN, et al. Ansatz für Erwachsene mit ungeklärter Thrombozytopenie. http://www.uptodate.com/home. Abgerufen am 18. Februar 2015.
- Fragen Sie MayoExpert. Thrombozytopenie. Rochester, Minnesota: Mayo Foundation for Medical Education and Research; 2015.
- Thrombozytopenie. Nationales Institut für Herz, Lunge und Blut. http://www.nhlbi.nih.gov/book/export/html/4876. Abgerufen am 23. Februar 2015.
- Fragen Sie MayoExpert. Hämolytisch-urämisches Syndrom (HUS) (Erwachsene und Kinder). Rochester, Minnesota: Mayo Foundation for Medical Education and Research; 2014.
- E coli. US Food and Drug Administration. www.foodsafety.gov. Abgerufen am 23. Februar 2015.
- Fragen Sie MayoExpert. Immunthrombozytopenie. Rochester, Minnesota: Mayo Foundation for Medical Education and Research; 2014.